Metamorfoza Pani Małgorzaty
- Marcin Ofiara
- 7 sty 2023
- 1 minut(y) czytania
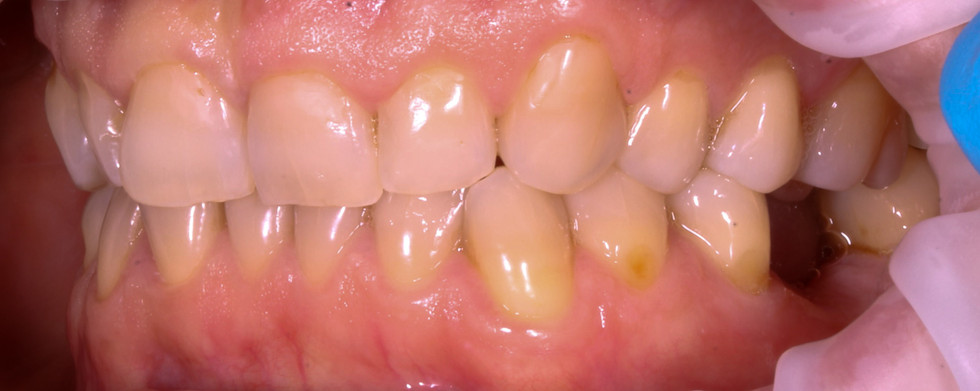
Pacjentka zgłosiła się z chęcią poprawy estetyki uśmiechu. Wykonaliśmy leczenie:
higienizacja
leczenie ortodontyczne Invisalign
bonding - małoinwazyjna kompozytowa korekta kształtu i koloru zębów

Zdjęcia wykonane przed leczeniem ortodontycznym:
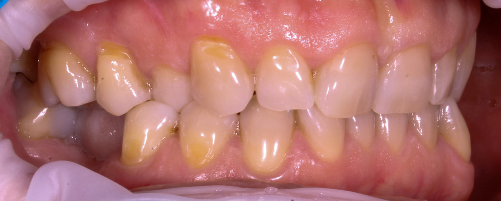
Zdjęcia po leczeniu ortodontycznym Invisalign:

Zdjęcia wykonane po odbudowie kompozytowej:





























Komentarze